Caso não esteja visualizando corretamente, clique aqui.


Fast Track ABC Cardiol e IJCS Coronavírus

Confira a nova edição da ABC Cardiol!

Edição Atual | Novembro, 2020 | Vol. 115 Nº 5


 

 

EDITORIAL

O Legado do Professor Eduardo Sosaa

José Antonio Franchini Ramires et al.

EDITORIAL

Reflexão sobre Conflitos de Interesses em Diretrizes Médicas

Max Grinberg


ARTIGO ORIGINAL

Volume Vascular Pulmonar Estimado por Software Automatizado é um Preditor de Mortalidade após Embolia Pulmonar Aguda

Leonardo Soriano et al.


MINIEDITORIAL

Mais Estudos devem ser Realizados sobre o Volume Vascular Pulmonar Estimado por Software Automatizado em Embolia Pulmonar Aguda

Marcelo Souto Nacif

ARTIGO ORIGINAL

Melhora no Consumo Máximo de Oxigênio e na Ventilação após Tratamento com Sacubitril-Valsartana

António Valentim Gonçalves et al.

MINIEDITORIAL

Terapia com o Inibidor da Neprilisina e do Receptor de Angiotensina e Melhora de Parâmetros de Exercício na Insuficiência Cardíaca com Fração de Ejeção Reduzida

Pedro Schwartzmann



ARTIGO ORIGINAL

Frequência e Motivos para a não Administração e Suspensão de Medicamentos durante um Evento de Síndrome Coronariana Aguda. Estudo ERICO

Rafael C. O. Santos et al.

ARTIGO ORIGINAL

Circunferência do Pescoço e Risco Cardiovascular em 10 Anos na Linha de Base do ELSA-Brasil: Diferenciais por Sexo

Acácia Antônia Gomes de Oliveira Silva et al.

ARTIGO ORIGINAL

Mortalidade por Infarto Agudo do Miocárdio no Brasil de 1996 a 2016: 21 Anos de Contrastes nas Regiões Brasileiras

Letícia de Castro Martins Ferreira et al.

MINIEDITORIAL

Resultado Evolutivo de Infartos Agudos do Miocárdio em Cinco Regiões Geográficas Brasileiras ao Longo de Duas Décadas

Alfredo José Mansur

ARTIGO ORIGINAL

Repercussões da Pandemia de COVID-19 na Prática Assistencial de um Hospital Terciário

André Luiz Cerqueira Almeida et al.

MINIEDITORIAL

As Consequências Não Aparentes Fora do Espectro da COVID da Pandemia de COVID-19

Gilson Feitosa


ARTIGO ORIGINAL

Associação de Fatores de Risco Cardiovascular e Polimorfismo de APOE com Mortalidade em Idosos Longevos: Uma Coorte de 21 Anos

Lilian Vivian et al.

MINIEDITORIAL

O Estilo de Vida dos Muito Idosos Importa

Fernando H. Y. Cesena


ARTIGO ORIGINAL

Exercício Aeróbio e Função Cardíaca de Murinos Expostos à Doxorrubicina: uma Metanálise

Mariana Inocêncio Matos et al.


MINIEDITORIAL

Metanálise Pré-clínica: Outro Tijolo na Parede

Amanda Gomes Pereira et al


ARTIGO ORIGINAL

Estudo da Reatividade Microvascular em Pacientes Hipertensos com Adiposidade Corporal Elevada

Jenifer d´El-Rei et al.


MINIEDITORIAL

Os Estudos da Reatividade Microvascular Contribuem na Prática Clínica?

Claudio Leinig Pereira da Cunha

ARTIGO ORIGINAL

A Gravidade da Doença Afeta os Parâmetros de Repolarização Ventricular em Pacientes com COVID-19

Mevlut Koc et al.


MINIEDITORIAL

Repolarização Ventricular como Ferramenta de Monitoramento da Atividade Elétrica Cardíaca

Carlos Alberto Pastore



ARTIGO ORIGINAL

Hospitalização por Infarto Agudo do Miocárdio: Um Registro de Base Populacional

Leonardo Alves e Carisi Anne Polanczyk


MINIEDITORIAL

Análise de um Registro de Base Populacional de Hospitalização por Infarto Agudo do Miocárdio

Gabriel Porto Soares


ARTIGO DE REVISÃO

Cardiomiopatia Hipertrófica – Revisão

Silméia Garcia Zanati Bazan


CARTA CIENTÍFICA

Infecção por COVID-19 em Gestante Cardiopata

Lucianna Serfaty de Holanda et al.

CARTA CIENTÍFICA

Ações contra a Covid-19 na População com Síndrome de Down


Giorgia Castilho Russo et al

CARTA CIENTÍFICA

Tópicos Emergentes em Insuficiência Cardíaca: COVID-19 e Insuficiência Cardíaca


Livia Adams Goldraich et al.

CARTA CIENTÍFICA

Tópicos Emergentes em Insuficiência Cardíaca: Novos Paradigmas na Amiloidose Cardíaca


Marcus Vinicius Simões et al.


CARTA CIENTÍFICA

Tópicos Emergentes em Insuficiência Cardíaca: Insuficiência Cardíaca com Fração de Ejeção Preservada e Intermediária

Miguel Morita Fernandes-Silva et al.

CARTA CIENTÍFICA

Tópicos Emergentes em Insuficiência Cardíaca: Terapias Intervencionistas na Insuficiência Cardíaca

João Manoel Rossi Neto et al.

CARTA CIENTÍFICA

Tópicos Emergentes em Insuficiência Cardíaca: Nova Era do Tratamento Farmacológico

Fabiana G. Marcondes-Braga et al.

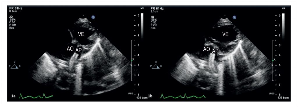
IMAGEM

Stent Ductal Oscilante na Atresia Pulmonar Valvar

Arun Gopalakrishnan et al.

IMAGEM

Forma Hepática Não Progressiva da Doença de Andersen como Mímica da Cardiomiopatia Hipertrófica

Fabio Mastrocola et al.

COMUNICAÇÃO BREVE

Efeito Cardiodepressor do Acetato de Eugenil em Coração de Roedor

Leisiane Pereira Marques et al.

CARTA AO EDITOR

Tecido Adiposo Epicárdico: Um Novo Parâmetro de Imagem Cardiovascular Profundamente Relacionado às Doenças Cardiovasculares

Eduardo Thadeu de Oliveira Correia, Letícia Mara dos Santos Barbetta

CARTA AO EDITOR

Imagem Cardiovascular em Pacientes com COVID-19

Gabriel Blacher Grossman et al.

POSICIONAMENTO

Posicionamento sobre COVID-19 e Gravidez em Mulheres Cardiopatas – Departamento de Cardiologia da Mulher da Sociedade Brasileira de Cardiologia – 2020

Celi Marques-Santos et al.

POSICIONAMENTO

Posicionamento sobre Indicações da Ecocardiografia em Cardiologia Fetal, Pediátrica e Cardiopatias Congênitas do Adulto – 2020

Samira Saady Morhy et al.

POSICIONAMENTO

Diretriz Brasileira de Cardio-oncologia – 2020

Ludhmila Abrahão Hajjar et al.